127-06 Liberty Avenue, Richmond Hill, NY 11419

259 Nassau Road, Roosevelt, NY 11575

Dentistry Before and After Photos

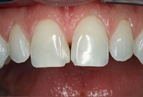
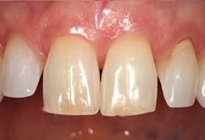
The image displays a close-up view of a person s mouth with yellowed teeth and visible gumline, showing signs of dental decay and discoloration.

Before

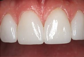
The image shows a person smiling with their teeth visible, revealing a bright white smile with some yellowing, against a neutral background.

After

The image shows two photographs side by side of a person s teeth with yellowing and discoloration, which appears to be due to dental issues such as staining or decay.

Before

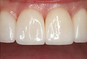
The image shows a close-up view of an open mouth with teeth that have been significantly whitened, revealing a healthy set of teeth and gums.

After

The image shows a close-up of a person s face with teeth, smiling broadly.

Before

The image shows a close-up of a person s mouth with teeth, including an upper front tooth, displaying a smile.

After

The image shows a close-up view of teeth with a focus on a person s mouth, displaying a set of white teeth with some staining visible, particularly near the gum line.

Before

The image shows a close-up of a person s teeth with a focus on cosmetic dental work, specifically a white smile effect achieved through veneers or a similar treatment.

After

The image shows two side-by-side photographs of an individual s teeth before and after dental treatment, with a noticeable difference in color and condition between the two images.

Before

The image shows a close-up view of a person s teeth with a focus on the top row, which appears to be a dental implant or bridge, set against a contrasting background that highlights the brightness of the teeth.

After

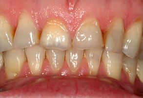
The image shows a close-up view of a person s teeth with some discoloration, particularly noticeable on the lower front teeth, which are yellowed compared to the upper teeth that appear whiter.

Before

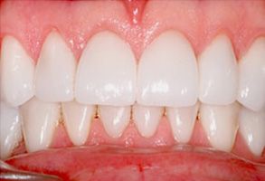
The image displays a close-up view of a person s teeth, showcasing their cleanliness and brightness after dental treatment.

After

The image shows a close-up view of a person s teeth with significant discoloration and decay, indicating poor oral hygiene or dental health issues.

Before

The image shows a close-up view of a person s teeth with a focus on a large gap between two front teeth, which appear to be missing or misaligned.

After

127-06 Liberty Avenue
Richmond Hill, NY 11419